Prosthodontic veneers to improve a smile (part 2)

2of2 This is the same case, but inside the mouth. The patient only wanted to have his front six teeth veneered to remove the discolouration from malformed enamel as well as change the length of them to make the smile nicer.
Prosthodontic veneers to improve a smile

(1 of 2) This case was started before lockdown and needed to be finished today at eDentistry to avoid further damage. An example of what prosthodontics is able to achieve when combined with digital dentistry.
Dental Health Week Goodie Bags!

It’s Dental Health Week – And to celebrate eDentistry is gifting an oral health goodie bag to all of our patients who are coming in this week.
Dental Health Week – TOP TIP 1.

Tempting as it is to think that everyone is practising good teeth and mouth hygiene, the reality is that the oral health of many Australians is not where it should be. • 75% adults rarely or never floss or clean between their teeth. • 1 in 5 adults brush only once per day. • […]
eDentistry Wantirna Celebrates DENTAL HEALTH WEEK! 2nd-8th August 2021.

eDentistry are proud to be part of Dental Health Week from the 2nd – 8th August 2021. Watch this space over the following week for excellent tips on how to: KEEP YOUR SMILE FOR LIFE!!!
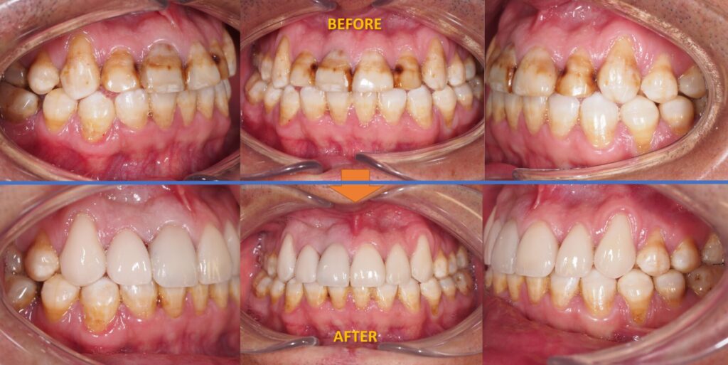
A smile makeover using periodontics, orthodontics AND prosthodontics 2/2

The same case, but viewed from the side. Unfortunately, one tooth was lost to gum disease before orthodontics and prosthodontic veneers/bridges were started. See the same case from the front by clicking here.
A smile makeover using periodontics, orthodontics AND prosthodontics 1/2

Another beautiful smile makeover from eDentistry Wantirna. Severe gum disease was present which first required periodontal treatment, followed by moving teeth with clear aligner orthodontics, and then prosthodontic veneers and bridges to make the smile beautiful. See the same case from the side by clicking here.
A Warm Welcome to Lakshmi P – Our Newest eDentistry Staff Member.

Our team is getting bigger at eDentistry Wantirna. Welcome to the lovely Lakshmi. It’s great to have you onboard!
eDentistry Wantirna is Fresh Out Of Lockdown!

eDentistry Wantirna is out of lockdown and fully operational – HOORAY!!! We thank all our patients old and new for their understanding over this period and wish you a warm welcome back. Surgery hours are back to normal with Michael and Kim running the ship whilst Alex looks after his new arrival! MON […]
A Warm Welcome to Elena Mang.

We extend a very warm welcome to the lovely Elena – great to have you onboard!