Call nowBook Online

Wisdom Teeth

eDentistry Wantirna

Wisdom Teeth Extraction Wantirna

Wisdom teeth are coming through at the back of the mouth.

This can often be quite painful, and even restrict the mouth from opening.

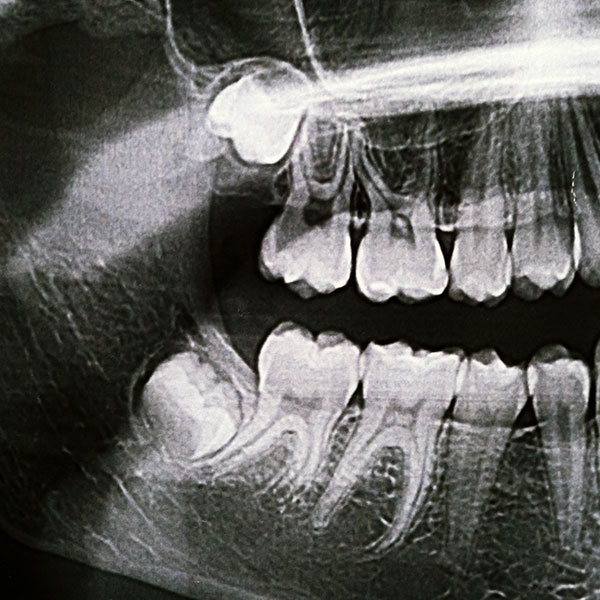
Wisdom teeth often come through on an angle. This can result in them becoming ‘impacted’ or stuck up against the tooth in front.

Impacted wisdom teeth often create a gap between the tooth in front where food gets caught which can create a hole on both the wisdom tooth and the tooth in front of it.

Impacted teeth also often cannot come through fully, and have a little flap of gum at the back which is another place for bacteria and debris to hide.

This often results in quite pronounced pain and swelling.

If the wisdom teeth are only very slightly impacted, sometimes all that is necessary is the recontouring of the little flap of gum at the back.

In more severe cases, wisdom teeth can be removed.

The swelling and pain can keep returning and become more and more severe each time. If the swelling becomes very severe, it can restrict the mouth from opening, and even block the throat and the airway.

Decay can develop in both the wisdom tooth and the tooth in front, which may result in the need for both teeth to be removed.

Contact eDentistry Wantirna Today!

Our dedicated team is here to make your visit as comfortable, efficient, and memorable as possible.

eDentistry Wantirna - Where care and innovation meet.

Our entire dental team is dedicated to providing you with the most memorable dental visit you will have!

Holiday Notice: We are closed on ANZAC Day (25 April 2026).
Hello. Add your message here.