Matt has completed his Certificate III in Medical Administration

Congratulations Matt for successful completion of your Certificate III in Medical Administration! You are amazing – eDentistry is incredibly impressed at how quickly you managed to complete your assessment tasks!
Power restored!

eDentistry Wantirna is back in operation now that the power is restored. All Saturday (12th June) appointment are now able to go ahead.
We can still take calls!

Despite our power outage, we are still able to take calls, as we have managed to divert our main line (9800 1184) to a mobile phone 0478 894 298.
Power Outage Persists

Argh – the power outage is STILL persisting. The energy companies said that worst case scenario, the power could still be out until Sunday, 13th June at 1pm, meaning we cannot take calls or see patients until then. We will keep patients updated.
Power Outage till 1pm on Thursday, 10th June 2021

Due to severe weather conditions in Wantirna South, eDentistry Wantirna currently has a power outage. We will not be able to take calls until 1pm on Thursday, 10th June 2021.
Orthodontics at eDentistry Wantirna.

1/2 Another orthodontics case (albeit a slightly more straightforward one this time) finished at eDentistry today. Look at the difference in her smile! 2/2 This is the same orthodontics case when viewed from inside the mouth.
Happy Easter & Thank You Valarie!

We have really wonderful patients here at eDentistry Wantirna. Thanks to Valarie from the entire team for her extremely thoughtful Easter gift.
Our Phones Lines Are Back In Business!

After an extended period of downtime, our phones are finally back in business. We appreciate your understanding and look forward to hearing from you. From all the staff at eDentistry Wantirna.
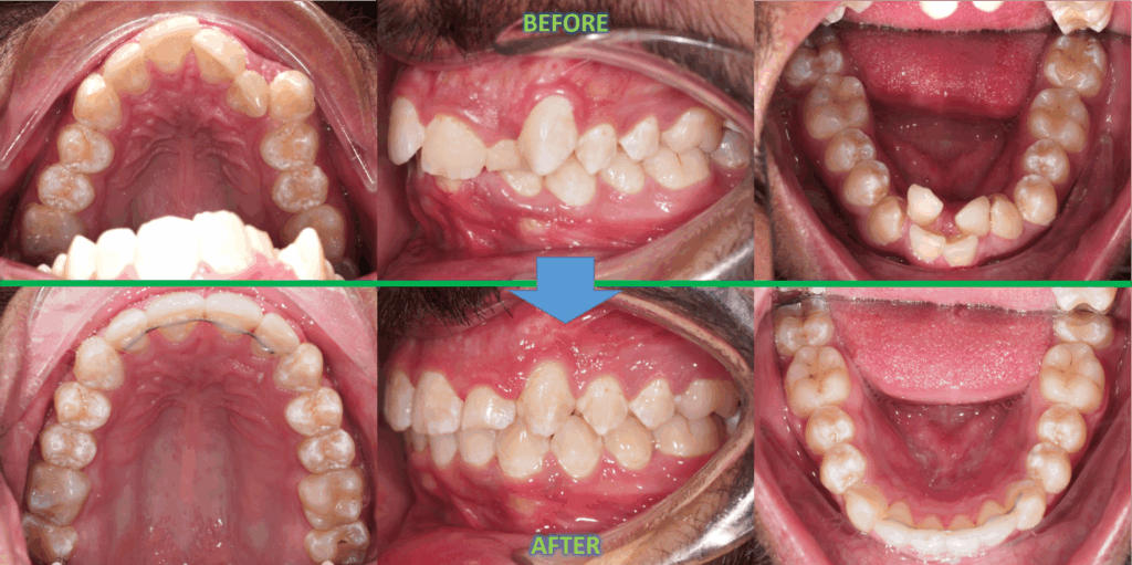
Orthodontics continued…

The same orthodontics case but from inside the mouth. There was a lot of crowding particularly on the bottom, but this did not require removal of any teeth.
ORTHODONTICS

Another orthodontics case finished at eDentistry today. Look at the change in the smile.