eDentistry Wantirna - Where care and innovation meet.
Our entire dental team is dedicated to providing you with the most memorable dental visit you will have!
In some situations, all the remaining teeth are in a terminal condition and cannot be replaced. Standard complete dentures are often very unstable and can severely affect the ability to eat and speak, and decrease the quality of life. Dental implants can be used to allow a fixed prosthesis to be permanently attached – this means that it never needs to be removed. This can also be known as “All-On-4” treatment.
ET had a history of severe dental decay and periodontal (gum) disease. The remaining teeth could no longer be saved, and ET was aware that she could not wear dentures due to the bone growth in the centre of palate (upper jaw) – see the photos to the right. ET was also very concerned that she would be without teeth for a certain period of time, but we informed her that we could attach a FIXED provisional (temporary) set of teeth on to the implants the same day that the teeth were removed, which is the same day that the implants would be placed in.
Using ‘digital dentistry’, the treatment plan was determined which included designing an attractive smile that suited her face. The position of the 4 implants on the upper jaw, and the 4 implants on the lower jaw (All-On-4) to support the fixed prosthesis was planned with extreme precision.
On the day of the procedure, all the remaining unsalvagable teeth were removed and 4 implants were placed on the upper jaw and 4 implants were placed in the lower jaw. The provisional fixed provisional prosthesis was inserted on the same day, and ET left the clinic with a beautiful new smile. See the photos to the right for reference.
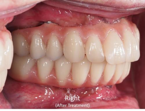
After 6 months, complete healing of the areas where the teeth were removed occurred. At this point in time, a new set of fixed FINAL prostheses were manufactured. Look how beautiful her smile is now. ET now has the confidence she did before she ever had problems with her teeth, and can chew her food without removable plastic dentures.
Disclaimer: Results from Individual treatment will vary according to clinical conditions and each case.






Our entire dental team is dedicated to providing you with the most memorable dental visit you will have!