Orthodontics at eDentistry Wantirna.
1/2 Another orthodontics case (albeit a slightly more straightforward one this time) finished at eDentistry today. Look at the difference in her smile! 2/2 This
1/2 Another orthodontics case (albeit a slightly more straightforward one this time) finished at eDentistry today. Look at the difference in her smile! 2/2 This

We have really wonderful patients here at eDentistry Wantirna. Thanks to Valarie from the entire team for her extremely thoughtful Easter gift.

After an extended period of downtime, our phones are finally back in business. We appreciate your understanding and look forward to hearing from you. From

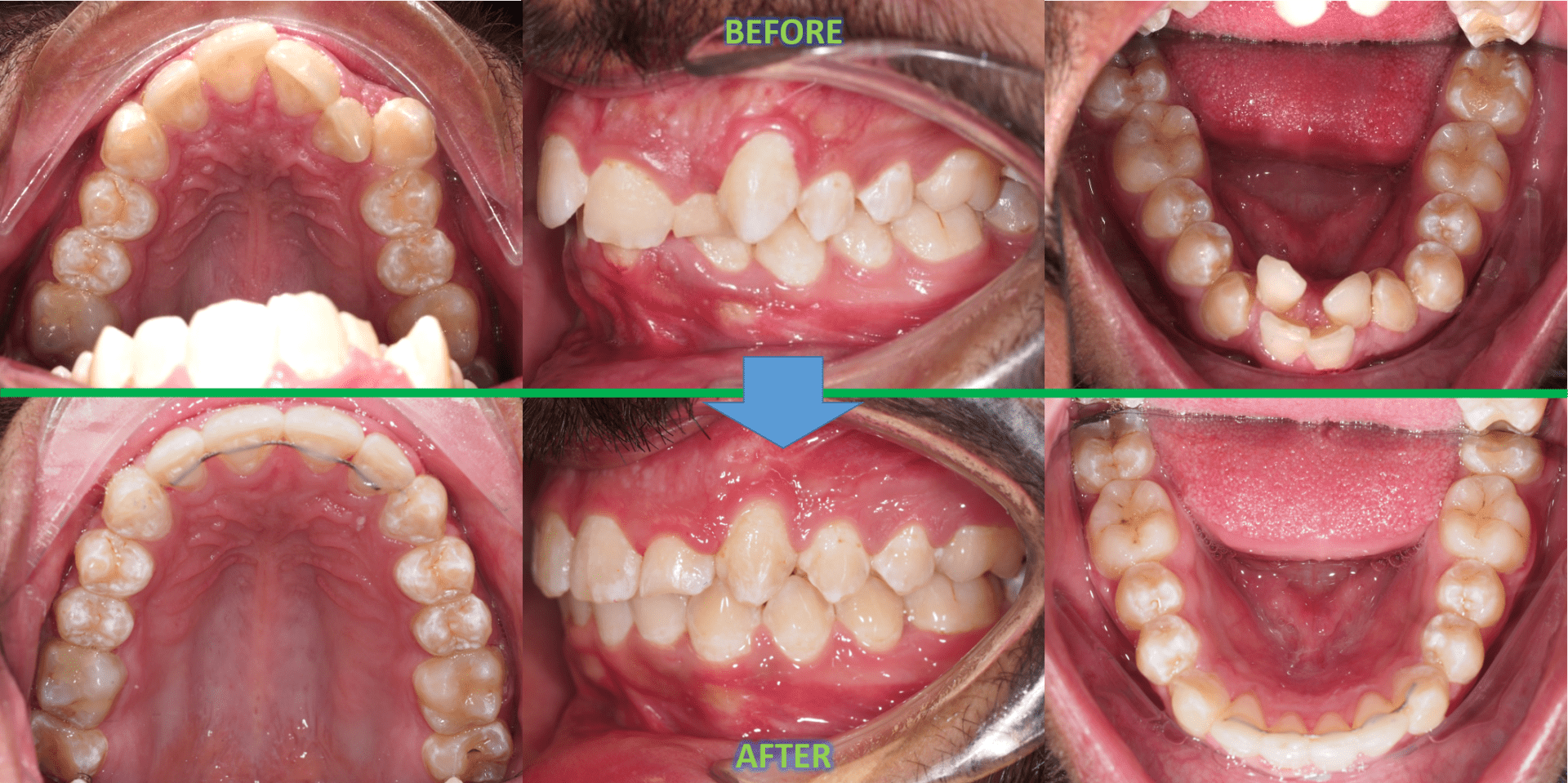
The same orthodontics case but from inside the mouth. There was a lot of crowding particularly on the bottom, but this did not require removal

Another orthodontics case finished at eDentistry today. Look at the change in the smile.

Another orthodontics case finished at eDentistry today. Have a look at not only how straight the teeth are, but also how well the top and
Our entire dental team is dedicated to providing you with the most memorable dental visit you will have!